QR Code
01-19635
Ιωάννης Γ. Οικονομίδης

Μαθήματα Γενικής Βιολογίας δια την ΣΤ΄ τάξιν των Γυμνασίων
[1975, 7η Έκδοση]

Σχολικό εγχειρίδιο Βιολογίας ΣΤ΄ Γυμνασίου που εστιάζει στις συνθήκες γέννησης, μεταβολής και θανάτου των έμβιων οργανισμών. Ο συγγραφέας ήταν υφηγητής του Πανεπιστημίου Αθηνών.


TopΠΕΔΙΟ ΑΝΑΓΝΩΡΙΣΗΣ

Κωδικός αναγνώρισης: 01-19635

Τίτλος: Μαθήματα Γενικής Βιολογίας δια την ΣΤ΄ τάξιν των Γυμνασίων

Συγγραφέας: Ιωάννης Γ. Οικονομίδης

Εικονογράφος: Άρια Κομιανού (εξώφυλλο)

Μέγεθος και υπόστρωμα: Σχολικό εγχειρίδιο, 20εκ., μαλακό εξώφυλλο, 247 σελίδες. Σχεδιαγράμματα, εικόνες και φωτογραφίες (ασπρόμαυρα και έγχρωμα), εξώφυλλο (έγχρωμο).

TopΠΕΔΙΟ ΠΕΡΙΕΧΟΜΕΝΟΥ

Βαθμίδα εκπαίδευσης: Δευτεροβάθμια

Τάξη: ΣΤ' Γυμνασίου

Μάθημα: Βιολογία

Γλώσσα: Απλή καθαρεύουσα

Παρουσίαση περιεχομένου: Σχολικό εγχειρίδιο Βιολογίας ΣΤ΄ Γυμνασίου που εστιάζει στις συνθήκες γέννησης, μεταβολής και θανάτου των έμβιων οργανισμών. Ο συγγραφέας ήταν υφηγητής του Πανεπιστημίου Αθηνών.

TopΠΕΔΙΟ ΠΛΗΡΟΦΟΡΙΩΝ ΕΚΔΟΣΗΣ

Εκδότης: Οργανισμός Εκδόσεως Διδακτικών Βιβλίων

Έτος έκδοσης: 1975

Τόπος έκδοσης: Αθήνα

Έκδοση:

Υπουργική απόφαση / Σύμβαση: 2566/15-4-1975

Έτος έγκρισης: 1975

TopΠΕΔΙΟ ΠΑΡΑΤΗΡΗΣΕΩΝ

Εντοπισμός πρωτοτύπου: Ινστιτούτο Εκπαιδευτικής Πολιτικής

Κωδικός βιβλιοθήκης: 19635

TopΕΥΡΕΤΗΡΙΟ ΘΕΜΑΤΙΚΩΝ ΟΡΩΝ

Σχετιζόμενα πρόσωπα:

Σχετιζόμενοι όροι:


258 εγγραφές [41 - 60]
Σελίδα #041
Σελίδα #042
Σελίδα #043
Σελίδα #044
Σελίδα #045
Σελίδα #046
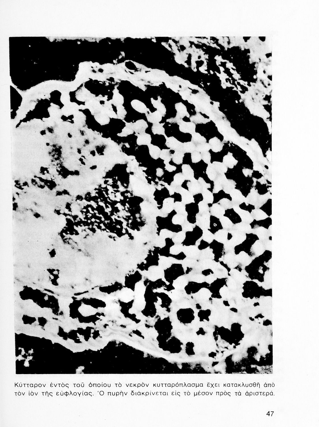
Σελίδα #047
Σελίδα #048
Σελίδα #049
Σελίδα #050
Σελίδα #051
Σελίδα #052
Σελίδα #053
Σελίδα #054
Σελίδα #055
Σελίδα #056
Σελίδα #057
Σελίδα #058
Σελίδα #059
Σελίδα #060
Σελίδα #061
Σελίδα #062
Σελίδα #063
Σελίδα #064
[Σχολικό Εγχειρίδιο]
Ιωάννης Γ. Οικονομίδης
Τάξη:  ΣΤ' Γυμνασίου
Μάθημα:  Βιολογία
Σχολικό εγχειρίδιο Βιολογίας ΣΤ΄ Γυμνασίου που εστιάζει στις συνθήκες γέννησης, μεταβολής και θανάτου των έμβιων οργανισμών. Φέρει το σύμβολο της δικτατορίας. Ο συγγραφέας ήταν υφηγητής του Πανεπιστημίου ...
[Σχολικό Εγχειρίδιο]
Ιωάννης Γ. Οικονομίδης
Τάξη:  ΣΤ' Γυμνασίου
Μάθημα:  Βιολογία
Σχολικό εγχειρίδιο Βιολογίας ΣΤ΄ Γυμνασίου που εστιάζει στις συνθήκες γέννησης, μεταβολής και θανάτου των έμβιων οργανισμών. Φέρει το σύμβολο της δικτατορίας. Ο συγγραφέας ήταν υφηγητής του Πανεπιστημίου ...
[Σχολικό Εγχειρίδιο]
Ιωάννης Οικονομίδης
Τάξη:  ΣΤ' Γυμνασίου
Μάθημα:  Βιολογία
Σχολικό εγχειρίδιο Βιολογίας ΣΤ΄ Γυμνασίου που εστιάζει στη σύσταση, λειτουργία, αναπαραγωγή και εξέλιξη των έμβιων οργανισμών.
[Σχολικό Εγχειρίδιο]
Ιωάννης Γ. Οικονομίδης
Τάξη:  ΣΤ' Γυμνασίου
Μάθημα:  Βιολογία
Σχολικό εγχειρίδιο Βιολογίας ΣΤ΄ Γυμνασίου που εστιάζει στη σύσταση, λειτουργία, αναπαραγωγή και εξέλιξη των έμβιων οργανισμών.
[Σχολικό Εγχειρίδιο]
Ιωάννης Γ. Οικονομίδης
Τάξη:  ΣΤ' Γυμνασίου
Μάθημα:  Βιολογία
Σχολικό εγχειρίδιο Βιολογίας ΣΤ΄ Γυμνασίου που εστιάζει στις συνθήκες γέννησης, μεταβολής και θανάτου των έμβιων οργανισμών. Φέρει το σύμβολο της δικτατορίας. Ο συγγραφέας ήταν υφηγητής του Πανεπιστημίου ...
[Σχολικό Εγχειρίδιο]
Θρασύβουλος Βλησίδης
Τάξη:  Δ' Γυμνασίου παλαιού τύπου / ΣΤ΄ Γυμνασίου νέου τύπου
Μάθημα:  Βιολογία
Σχολικό εγχειρίδιο Βιολογίας Δ΄ Γυμνασίου που εστιάζει στις συνθήκες γέννησης, μεταβολής και θανάτου των έμβιων οργανισμών. Ο συγγραφέας ήταν καθηγητής της γενικής Βιολογίας στο Πανεπιστήμιο Αθηνών.
[Σχολικό Εγχειρίδιο]
Θρασύβουλος Βλησίδης
Τάξη:  Δ' Γυμνασίου
Μάθημα:  Βιολογία
Σχολικό εγχειρίδιο Βιολογίας Δ΄ Γυμνασίου που εστιάζει στις συνθήκες γέννησης, μεταβολής και θανάτου των έμβιων οργανισμών. Ο συγγραφέας ήταν πρώην καθηγητής στο Πανεπιστήμιο Αθηνών.
[Σχολικό Εγχειρίδιο]
Στέλιος Σπεράντσας
Τάξη:  Δ' Γυμνασίου
Μάθημα:  Βιολογία
Σχολικό εγχειρίδιο Βιολογίας Δ΄ Γυμνασίου που εστιάζει στις συνθήκες γέννησης, μεταβολής και θανάτου των έμβιων οργανισμών.
[Σχολικό Εγχειρίδιο]
Θρασύβουλος Βλησίδης
Τάξη:  Δ' Γυμνασίου
Μάθημα:  Βιολογία
Σχολικό εγχειρίδιο Βιολογίας Δ΄ Γυμνασίου που εστιάζει στις συνθήκες γέννησης, μεταβολής και θανάτου των έμβιων οργανισμών.
[Σχολικό Εγχειρίδιο]
Θρασύβουλος Βλησίδης
Τάξη:  Δ' Γυμνασίου παλαιού τύπου
Μάθημα:  Βιολογία
Σχολικό εγχειρίδιο Βιολογίας Δ΄ Γυμνασίου που εστιάζει στις συνθήκες γέννησης, μεταβολής και θανάτου των έμβιων οργανισμών. Ο συγγραφέας ήταν καθηγητής της γενικής Βιολογίας στο Πανεπιστήμιο Αθηνών.