QR Code
01-46119
Νικόλαος Ασπιώτης

Ανθρωπολογία δια την Πέμπτη Τάξιν των Γυμνασίων
[1972, 4η Έκδοση]

Σχολικό εγχειρίδιο Ανθρωπολογίας Ε΄ Γυμνασίου που εστιάζει στην κατασκευή, ανάπτυξη και λειτουργία του ανθρώπινου οργανισμού και τη σχέση του ανθρώπου με το φυσικό περιβάλλον. Περιέχει και αναφορά στις ανθρώπινες φυλές.


TopΠΕΔΙΟ ΑΝΑΓΝΩΡΙΣΗΣ

Κωδικός αναγνώρισης: 01-46119

Τίτλος: Ανθρωπολογία δια την Πέμπτη Τάξιν των Γυμνασίων

Συγγραφέας: Νικόλαος Ασπιώτης

Μέγεθος και υπόστρωμα: Σχολικό εγχειρίδιο, μαλακό εξώφυλλο, 226 σελίδες. Σκίτσα (ασπρόμαυρα).

TopΠΕΔΙΟ ΠΕΡΙΕΧΟΜΕΝΟΥ

Βαθμίδα εκπαίδευσης: Δευτεροβάθμια

Τάξη: Ε' Γυμνασίου

Μάθημα: Ανθρωπολογία

Γλώσσα: Απλή καθαρεύουσα

Παρουσίαση περιεχομένου: Σχολικό εγχειρίδιο Ανθρωπολογίας Ε΄ Γυμνασίου που εστιάζει στην κατασκευή, ανάπτυξη και λειτουργία του ανθρώπινου οργανισμού και τη σχέση του ανθρώπου με το φυσικό περιβάλλον. Περιέχει και αναφορά στις ανθρώπινες φυλές.

TopΠΕΔΙΟ ΠΛΗΡΟΦΟΡΙΩΝ ΕΚΔΟΣΗΣ

Εκδότης: Οργανισμός Εκδόσεως Διδακτικών Βιβλίων

Έτος έκδοσης: 1972

Τόπος έκδοσης: Αθήνα

Έκδοση:

Υπουργική απόφαση / Σύμβαση: 2203/31-3-1972

Έτος έγκρισης: 1972

TopΠΕΔΙΟ ΠΑΡΑΤΗΡΗΣΕΩΝ

Εντοπισμός πρωτοτύπου: Ινστιτούτο Εκπαιδευτικής Πολιτικής

Κωδικός βιβλιοθήκης: 46119

TopΕΥΡΕΤΗΡΙΟ ΘΕΜΑΤΙΚΩΝ ΟΡΩΝ

Σχετιζόμενα πρόσωπα:

Σχετιζόμενοι όροι:


231 εγγραφές [1 - 20]
Εξώφυλλο
Εξώφυλλο
Σελίδα #001
Σελίδα #002
Σελίδα #003
Σελίδα #004
Σελίδα #005
Σελίδα #006
Σελίδα #007
Σελίδα #008
Σελίδα #009
Σελίδα #010
Σελίδα #011
Σελίδα #012
Σελίδα #013
Σελίδα #014
Σελίδα #015
Σελίδα #016
Σελίδα #017
Σελίδα #018
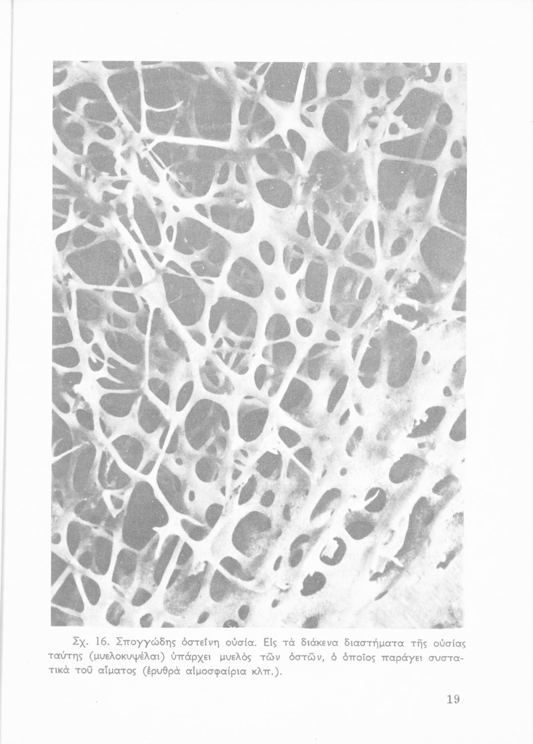
Σελίδα #019
Σελίδα #020
Σελίδα #021
Σελίδα #022
[Σχολικό Εγχειρίδιο]
Νικόλαος Ασπιώτης
Τάξη:  Ε' Γυμνασίου
Μάθημα:  Ανθρωπολογία
Σχολικό εγχειρίδιο Ανθρωπολογίας Ε΄ Γυμνασίου που εστιάζει στην κατασκευή, ανάπτυξη και λειτουργία του ανθρώπινου οργανισμού και τη σχέση του ανθρώπου με το φυσικό περιβάλλον. Περιέχει και αναφορά στις ...
[Σχολικό Εγχειρίδιο]
Νικόλαος Ασπιώτης
Τάξη:  Ε' Γυμνασίου
Μάθημα:  Ανθρωπολογία
Σχολικό εγχειρίδιο Ανθρωπολογίας Ε΄ Γυμνασίου που εστιάζει στην κατασκευή, ανάπτυξη και λειτουργία του ανθρώπινου οργανισμού και τη σχέση του ανθρώπου με το φυσικό περιβάλλον. Περιέχει και αναφορά στις ...
[Σχολικό Εγχειρίδιο]
Νικόλαος Ασπιώτης
Τάξη:  Ε' Γυμνασίου
Μάθημα:  Ανθρωπολογία
Σχολικό εγχειρίδιο Ανθρωπολογίας Ε΄ Γυμνασίου που εστιάζει στην κατασκευή, ανάπτυξη και λειτουργία του ανθρώπινου οργανισμού και τη σχέση του ανθρώπου με το φυσικό περιβάλλον. Περιέχει και αναφορά στις ...
[Σχολικό Εγχειρίδιο]
Νικόλαος Ασπιώτης
Τάξη:  Ε' Γυμνασίου
Μάθημα:  Ανθρωπολογία
Σχολικό εγχειρίδιο Ανθρωπολογίας Ε΄ Γυμνασίου που εστιάζει στην κατασκευή, ανάπτυξη και λειτουργία του ανθρώπινου οργανισμού και τη σχέση του ανθρώπου με το φυσικό περιβάλλον. Περιέχει και αναφορά στις ...
[Σχολικό Εγχειρίδιο]
Νικόλαος Ασπιώτης
Τάξη:  Ε' Γυμνασίου
Μάθημα:  Ανθρωπολογία
Σχολικό εγχειρίδιο Ανθρωπολογίας Ε΄ Γυμνασίου που εστιάζει στην κατασκευή, ανάπτυξη και λειτουργία του ανθρώπινου οργανισμού και τη σχέση του ανθρώπου με το φυσικό περιβάλλον. Περιέχει και αναφορά στις ...
[Σχολικό Εγχειρίδιο]
Στέλιος Σπεράντσας, Κων. Καυκής (επιμέλεια)
Τάξη:  Ε' Γυμνασίου
Σχολικό εγχειρίδιο Ανθρωπολογίας για την Ε΄ τάξη των Εξαταξίων Γυμνασίων που εστιάζει στην ανατομία και φυσιολογία του ανθρώπινου σώματος καθώς και στα μικρόβια και νοσήματα.
[Σχολικό Εγχειρίδιο]
Στέλιος Σπεράντσας, Α. Δεβελέγκας (επιμέλεια)
Τάξη:  Ε' Γυμνασίου
Σχολικό εγχειρίδιο Ανθρωπολογίας για την Ε΄ τάξη των Εξαταξίων Γυμνασίων που εστιάζει στην ανατομία και φυσιολογία του ανθρώπινου σώματος καθώς και στα μικρόβια και νοσήματα.
[Σχολικό Εγχειρίδιο]
Στέλιος Σπεράντσας
Τάξη:  Ε' Γυμνασίου
Σχολικό εγχειρίδιο Ανθρωπολογίας για την Ε΄ τάξη των Εξαταξίων Γυμνασίων που εστιάζει στην ανατομία και φυσιολογία του ανθρώπινου σώματος καθώς και στα μικρόβια και νοσήματα.
[Σχολικό Εγχειρίδιο]
Θρασ. Βλησίδης
Τάξη:  Δ' Γυμνασίου
Μάθημα:  Ανθρωπολογία
Σχολικό εγχειρίδιο της Δ΄ Γυμνασίου για το μάθημα της Ανθρωπολογίας. Παρέχει πληροφορίες για την κατασκευή και τη λειτουργία του ανθρώπινου οργανισμού, τη γέννηση, την ανάπτυξη, καθώς και τη σχέση του ανθρώπου
[Σχολικό Εγχειρίδιο]
Στέλιος Σπεράντσας
Τάξη:  Δ' Γυμνασίου νέου τύπου / Β' Αστικού Σχολείου
Σχολικό εγχειρίδιο Ανθρωπολογίας για την Δ΄ Γυμνασίου που εστιάζει στην ανατομία και φυσιολογία του ανθρώπινου σώματος καθώς και στα μικρόβια και νοσήματα.