QR Code
03-20558004
Ιωάν. Γ. Οικονομίδης

Μαθήματα Γενικής Βιολογίας. ΣΤ΄ Γυμνασίου
[1972, 4η Έκδοση]

Σχολικό εγχειρίδιο Βιολογίας ΣΤ΄ Γυμνασίου που εστιάζει στις συνθήκες γέννησης, μεταβολής και θανάτου των έμβιων οργανισμών. Φέρει το σύμβολο της δικτατορίας. Ο συγγραφέας ήταν υφηγητής του Πανεπιστημίου Αθηνών.


TopΠΕΔΙΟ ΑΝΑΓΝΩΡΙΣΗΣ

Κωδικός αναγνώρισης: 03-20558004

Τίτλος: Μαθήματα Γενικής Βιολογίας. ΣΤ΄ Γυμνασίου

Συγγραφέας: Ιωάν. Γ. Οικονομίδης

Εικονογράφος: Άρια Κομιανού

Μέγεθος και υπόστρωμα: Σχολικό εγχειρίδιο, μαλακό εξώφυλλο, 272 σελίδες. Σκίτσα, εικόνες (ασπρόμαυρα).

TopΠΕΔΙΟ ΠΕΡΙΕΧΟΜΕΝΟΥ

Βαθμίδα εκπαίδευσης: Δευτεροβάθμια

Τάξη: ΣΤ' Γυμνασίου

Μάθημα: Βιολογία

Γλώσσα: Απλή καθαρεύουσα

Παρουσίαση περιεχομένου: Σχολικό εγχειρίδιο Βιολογίας ΣΤ΄ Γυμνασίου που εστιάζει στις συνθήκες γέννησης, μεταβολής και θανάτου των έμβιων οργανισμών. Φέρει το σύμβολο της δικτατορίας. Ο συγγραφέας ήταν υφηγητής του Πανεπιστημίου Αθηνών.

TopΠΕΔΙΟ ΠΛΗΡΟΦΟΡΙΩΝ ΕΚΔΟΣΗΣ

Εκδότης: Οργανισμός Εκδόσεως Διδακτικών Βιβλίων

Έτος έκδοσης: 1972

Τόπος έκδοσης: Αθήνα

Έκδοση:

Υπουργική απόφαση / Σύμβαση: 2223/4-4-1972

Έτος έγκρισης: 1972

TopΠΕΔΙΟ ΠΑΡΑΤΗΡΗΣΕΩΝ

Εντοπισμός πρωτοτύπου: Βιβλιοθήκη της Βουλής των Ελλήνων

Κωδικός βιβλιοθήκης: 20558004

TopΕΥΡΕΤΗΡΙΟ ΘΕΜΑΤΙΚΩΝ ΟΡΩΝ

Σχετιζόμενα πρόσωπα:

Σχετιζόμενοι όροι:


284 εγγραφές [41 - 60]
Σελίδα #039
Σελίδα #040
Σελίδα #041
Σελίδα #042
Σελίδα #043
Σελίδα #044
Σελίδα #045
Σελίδα #046
Σελίδα #047
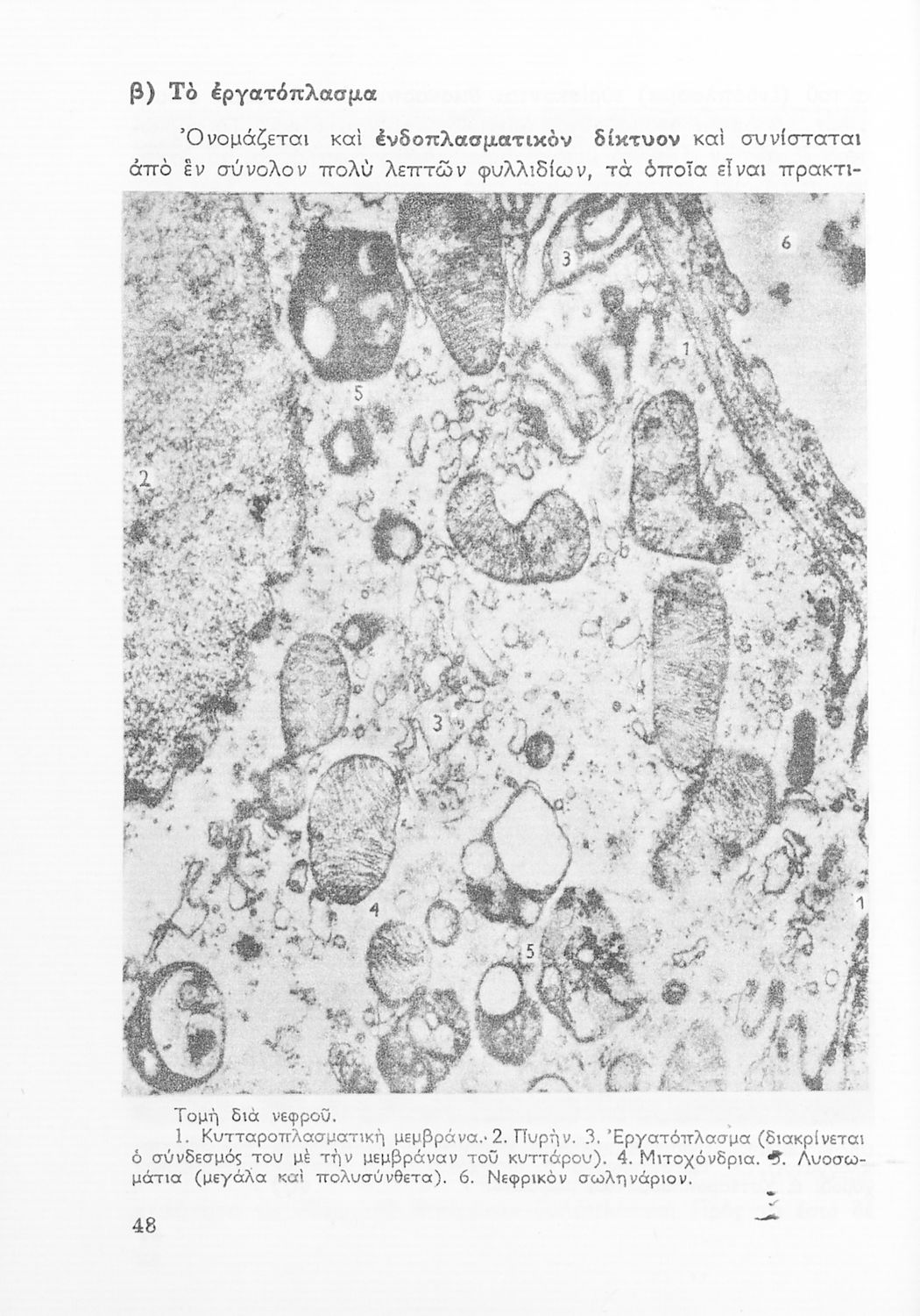
Σελίδα #048
Σελίδα #049
Σελίδα #050
Σελίδα #051
Σελίδα #052
Σελίδα #053
Σελίδα #054
Σελίδα #055
Σελίδα #056
Σελίδα #057
Σελίδα #058
Σελίδα #059
Σελίδα #060
Σελίδα #061
Σελίδα #062
[Σχολικό Εγχειρίδιο]
Ιωάννης Γ. Οικονομίδης
Τάξη:  ΣΤ' Γυμνασίου
Μάθημα:  Βιολογία
Σχολικό εγχειρίδιο Βιολογίας ΣΤ΄ Γυμνασίου που εστιάζει στις συνθήκες γέννησης, μεταβολής και θανάτου των έμβιων οργανισμών. Φέρει το σύμβολο της δικτατορίας. Ο συγγραφέας ήταν υφηγητής του Πανεπιστημίου ...
[Σχολικό Εγχειρίδιο]
Ιωάννης Γ. Οικονομίδης
Τάξη:  ΣΤ' Γυμνασίου
Μάθημα:  Βιολογία
Σχολικό εγχειρίδιο Βιολογίας ΣΤ΄ Γυμνασίου που εστιάζει στις συνθήκες γέννησης, μεταβολής και θανάτου των έμβιων οργανισμών. Ο συγγραφέας ήταν υφηγητής του Πανεπιστημίου Αθηνών.
[Σχολικό Εγχειρίδιο]
Ιωάννης Γ. Οικονομίδης
Τάξη:  ΣΤ' Γυμνασίου
Μάθημα:  Βιολογία
Σχολικό εγχειρίδιο Βιολογίας ΣΤ΄ Γυμνασίου που εστιάζει στις συνθήκες γέννησης, μεταβολής και θανάτου των έμβιων οργανισμών. Φέρει το σύμβολο της δικτατορίας. Ο συγγραφέας ήταν υφηγητής του Πανεπιστημίου ...
[Σχολικό Εγχειρίδιο]
Ιωάννης Οικονομίδης
Τάξη:  ΣΤ' Γυμνασίου
Μάθημα:  Βιολογία
Σχολικό εγχειρίδιο Βιολογίας ΣΤ΄ Γυμνασίου που εστιάζει στη σύσταση, λειτουργία, αναπαραγωγή και εξέλιξη των έμβιων οργανισμών.
[Σχολικό Εγχειρίδιο]
Ιωάννης Γ. Οικονομίδης
Τάξη:  ΣΤ' Γυμνασίου
Μάθημα:  Βιολογία
Σχολικό εγχειρίδιο Βιολογίας ΣΤ΄ Γυμνασίου που εστιάζει στη σύσταση, λειτουργία, αναπαραγωγή και εξέλιξη των έμβιων οργανισμών.
[Σχολικό Εγχειρίδιο]
Ιωάννης Γ. Οικονομίδης
Τάξη:  ΣΤ' Γυμνασίου
Μάθημα:  Βιολογία
Σχολικό εγχειρίδιο Βιολογίας ΣΤ΄ Γυμνασίου που εστιάζει στις συνθήκες γέννησης, μεταβολής και θανάτου των έμβιων οργανισμών. Φέρει το σύμβολο της δικτατορίας. Ο συγγραφέας ήταν υφηγητής του Πανεπιστημίου ...
[Σχολικό Εγχειρίδιο]
Θρασύβουλος Βλησίδης
Τάξη:  Δ' Γυμνασίου παλαιού τύπου / ΣΤ΄ Γυμνασίου νέου τύπου
Μάθημα:  Βιολογία
Σχολικό εγχειρίδιο Βιολογίας Δ΄ Γυμνασίου που εστιάζει στις συνθήκες γέννησης, μεταβολής και θανάτου των έμβιων οργανισμών. Ο συγγραφέας ήταν καθηγητής της γενικής Βιολογίας στο Πανεπιστήμιο Αθηνών.
[Παιδαγωγικό Βοήθημα]
Γ. Ν. Καλαματιανός
Τάξη:  ΣΤ' Γυμνασίου
Μάθημα:  Νέα Ελληνικά
Παιδαγωγικό / Μαθητικό βοήθημα Νέων Ελληνικών ΣΤ΄ Γυμνασίου που περιλαμβάνει αναλύσεις έργων Ελλήνων, Βυζαντινών και Ευρωπαίων συγγραφέων, και λεξιλογικές και πραγματολογικές παρατηρήσεις .
[Σχολικό Εγχειρίδιο]
Στέλιος Σπεράντσας
Τάξη:  Γ' Γυμνασίου
Μάθημα:  Βιολογία
Το βιβλίο προσφέρει μια γενική επισκόπηση της επιστήμης της βιολογίας. Αρχίζοντας με τα βασικά δομικά στοιχεία κάθε οργανισμού, ανόργανα και οργανικά σώματα και τα γνωρίσματά τους. Τα μέρη του κυττάρου, ...
[Σχολικό Εγχειρίδιο]
Στέλιος Σπεράντσας
Τάξη:  Δ' Γυμνασίου
Μάθημα:  Βιολογία
Σχολικό εγχειρίδιο Βιολογίας της Δ' Γυμνασίου. Το βιβλίο είναι μια γενική επισκόπηση της Βιολογίας. Ξεκινάει με μια εισαγωγή για τους οργανισμούς, τις λειτουργίες και τα στάδια της ζωής. Συνεχίζει με την ...